随着社会的进步,生活水平的提高,追求高品质的生活已不再是年轻人的专利,五六十岁乃至九十岁高龄的老人同样渴望年轻态的生活。他们会看电脑、玩微信,对摄影、绘画、旅游也有着浓厚的兴趣。当你看到耄耋(mào dié)老人还能掌上办公,无需惊讶,因为科技进步给老年生活带来的“年轻化”改变,已经成为现实!
近期,68岁的蒋先生(化名)作为科技进步的受益者,成为了我院第一批享受飞秒技术的白内障患者。

蒋先生是一名劳碌了一生的退休干部,本已到了安享晚年年纪的他,深受左眼视力下降的困扰,浙江省眼科医院之江院区门诊部副主任陈榆主治医师是蒋先生的首诊医生,经过陈医生的一番仔细检查,我们发现蒋先生的左眼视仅为0.4,而之所以左眼视力下降这么严重不仅仅是白内障造成的,蒋先生的底板也出现了问题。
我们常常把眼睛比作一台照相机,那底板就是这部照相机的底片,要想拍出清晰的照片,镜头与底片缺一不可。
在得知自己眼睛的底板有问题之后,蒋先生对手术的安全性更加担忧了,这是一场不允许失败的战役。
就在蒋先生忐忑不安之际,陈医生为他推荐了飞秒激光辅助白内障手术——先使用飞秒激光技术辅助完成以往需要手工操作的制作角膜切口等重要步骤,再采用人工晶体置换已经老化了的晶状体,大幅提高手术的精准性、安全性,实现了白内障手术无刀化的转变,让手术更安全。

在整个手术方案设计的过程中,陈医生十分耐心地解答蒋先生及其家人的疑问,详细地分析了病情,并且设计了精准的手术方案。
经过陈医生的专业解答,蒋先生悬着的心终于慢慢放了下来,飞秒激光白内障手术的安全性与可控性彻底征服了蒋先生,成为了他心中的不二之选。

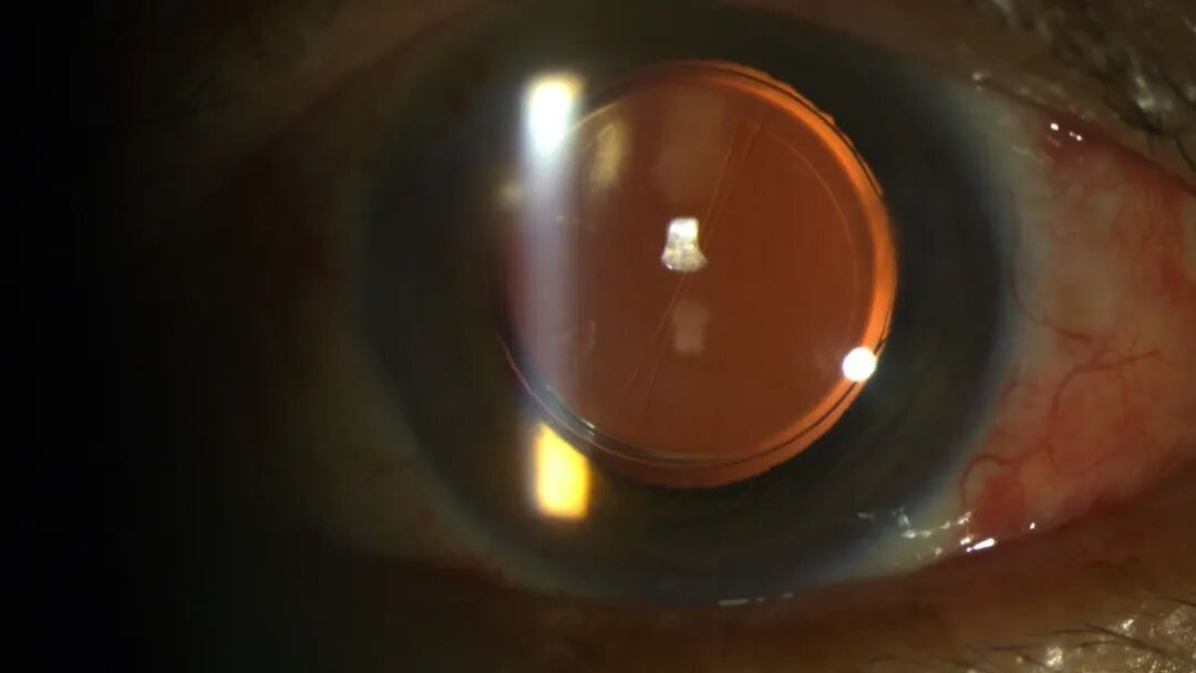
术后两小时眼前节照片
得益于飞秒激光的辅助,手术中用于打碎白内障核块的能量大大减少,术后角膜基本保持透明。
同时飞秒激光取代了传统手术刀,整个过程都有电脑扫描成像技术辅助,手术精确度高,安全更可靠。
飞秒激光系统通过超精确、近乎零误差的切口,有效保证了人工晶体完美居中,让患者获得术后良好的视觉效果,同时感觉更舒适,这种创新的手术方式大大降低了手术感染的风险,术后恢复快。
整个手术过程持续了大约10分钟,蒋先生与陈医生密切配合,共同完成了这场高科技辅助下的视力恢复之旅,术后复查蒋先生的视力已经恢复到0.8,他笑着说:“飞秒激光真是太神奇啦,全程不使用手术刀也能为我除去白内障!”

飞秒激光白内障手术又称为“智能手术”、“无刀手术”,革命性地改变了白内障的手术方式。在治疗白内障的过程中,无需使用手术刀,全程计算机精确引导,缩短了手术时间,减少了超声能量对角膜内皮等邻近组织的损伤。飞秒激光白内障手术安全可靠、高度精确,术后有望达到“屈光度为零”的“完美视力”,大大提高了患者的舒适度和满意度。

